Skip to main content
Medmastery
My courses
Course library
Magazine
Webinars
CME
Muhammad
Muhammad
Basic Membership
Upgrade to Pro
Claim CME credits.
Account info
Personal info
Subscription
Log out
Ultrasound guidance for paracentesis quiz
Cancel
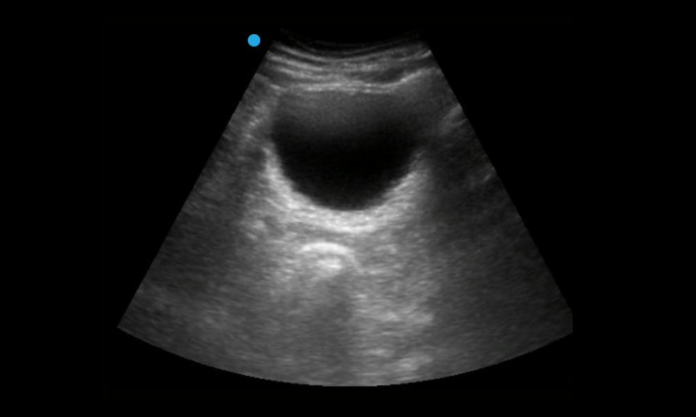
What is the anechoic structure?
Choose one
Ascites
Spleen
Bladder
Aorta
Question
1
of
5