24 minutes Transfusion Medicine Essentials Webinar Recorded on 23rd Jan 2019 Knowing the pitfalls of transfusion medicine can keep you from making potentially life-threatening mistakes. Anna Wonnerth, MD shares her nuggets of wisdom.
61 minutes Emergency Procedures Launch Webinar Recorded on 20th Sep 2018 In this webinar, Prof. Siamak Moayedi MD from Baltimore, Maryland will teach you several important tips and tricks on how to ace your next emergency procedure.
39 minutes Resuscitation Essentials Recorded on 15th Aug 2018 In this webinar, Christopher Tainter explains how to optimize ventilation during resuscitation.
69 minutes Choosing Specialty Recorded on 14th Apr 2016 Choosing your specialty is one of the most important decisions you'll ever make. We’ll teach you how to approach this decision so you’ll be happy and successful.
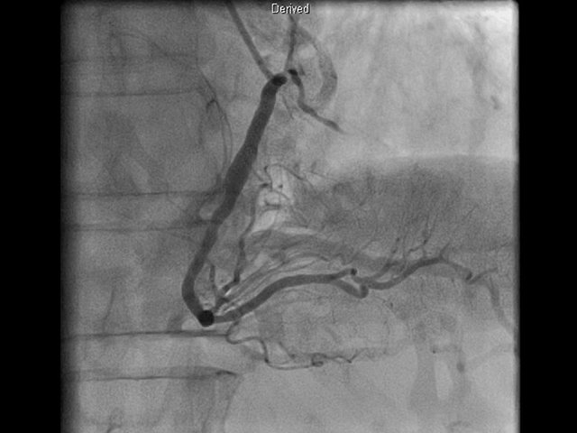
80 minutes Angiography Recorded on 24th Mar 2016 This webinar was a huge success. It will boost your understanding of how to read and interpret angiograms.
73 minutes Cardiac Imaging Recorded on 25th Feb 2016 Echo and CMR are among the top imaging modalities in cardiology. In this webinar, you'll learn important strategies that will supercharge your imaging skills.
58 minutes Pacemaker Recorded on 28th Jan 2016 Pacemaker pearls and pitfalls. Solve tricky cases together with your teacher and fellow students.
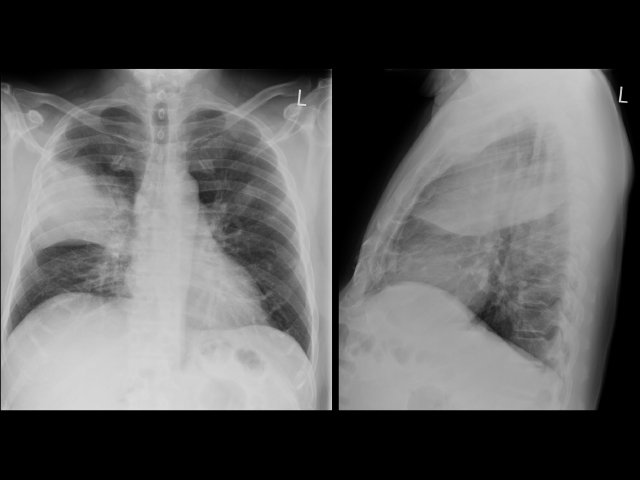
52 minutes Chest X-Ray Recorded on 27th Jan 2016 In this webinar, we’ll go over several interesting chest x-ray cases. We’ll cover things you might encounter during your next night on call.