How to build a resilience mindset. 27th Mar 2018 - Franz Wiesbauer, MD, MPH When things get tough, it can be hard to keep perspective. Learn the 4 essentials habits of a resilience ...
Stop procrastinating with the 5-second rule. 23rd Mar 2018 - Franz Wiesbauer, MD, MPH Launch into action with the 5-second rule before your "mental brake" kicks in.
Why you need a wake-up routine and the 4 habits you should include. 21st Mar 2018 - Franz Wiesbauer, MD, MPH Morning routines are all the rage. Find out why and the habits you MUST include.
Easy rules for assessing compensation. 21st Mar 2018 - Franz Wiesbauer, MD, MPH These super-simple rules that will help you decide whether metabolic/respiratory compensation is ...
The 20-hour rule will revolutionize the way you learn. Here’s how. 14th Mar 2018 - Franz Wiesbauer, MD, MPH Learning a skill takes a long time...or does it? In this article, you'll discover how to learn anything in less than a ...
Distinguishing between different acid-base disorders—a simple rule 14th Mar 2018 - Rainer Oberbauer, MD, MSc Learn a simple rule to identify the primary acid-base problem occurring in your patient.
How amiodarone affects thyroid function. 14th Mar 2018 - Tracy Tylee, MD Learn how amiodarone affects thyroid hormones and how to monitor them long-term.
Why doctors should have "idea sex" more often. 6th Mar 2018 - Franz Wiesbauer, MD, MPH Elon Musk has "idea sex" all the time and so should you. Find out why.
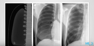
How to identify pneumothorax on a chest X-ray. 6th Mar 2018 - Julian Dobranowski, MD, FRCPC Identify when pleura is abnormal and the key radiological signs of pneumothorax.