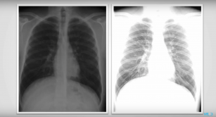
Good vs bad quality chest x-rays and how to identify them. 17th Jan 2018 - Julian Dobranowski, MD, FRCPC Discover the 5 key identifying factors which will help you distinguish between a low and a high-quality chest ...
Radiological zones—an introduction to landmarks 10th Jan 2018 - Julian Dobranowski, MD, FRCPC Learn how to identify the major anatomical regions on a chest X-ray.
Treating arrhythmias—defibrillation 10th Jan 2018 - Kristian Webb Learn how defibrillation works to treat ventricular fibrillation and ventricular tachycardias.
How to differentiate between different arrhythmias. 3rd Jan 2018 - Kristian Webb Learn about morphology discriminators and how we can use them to help us discriminate between various ...
Guiding arthrocentesis with ultrasound 3rd Jan 2018 - Sara Damewood, MD Learn how to use ultrasound to find the biggest pocket of effusion and know what things to avoid when performing ...
How to evaluate the aortic valve using cardiac CT imaging. 27th Dec 2017 - Ronak Rajani, MD, FESC, FRCP, FSCCT Discover aortic valve anatomy and prospective/retrospective triggering in cardiac CT imaging.
Understanding markers and annotations on an ECG. 27th Dec 2017 - Kristian Webb Learn the mystifying language of ECG markers in this video by Dr Kristian Webb.
Why physicians need to celebrate their fallibility. 19th Dec 2017 - Franz Wiesbauer, MD, MPH A growth mindset combined with an appreciation of failure is essential to the successful practise of medicine. So how do ...
Finding the coronary artery origins using CT. 19th Dec 2017 - Ronak Rajani, MD, FESC, FRCP, FSCCT Learn the normal configuration of the right and left coronary arteries using CT.