Mastering the suprasternal view of the aorta in echocardiography 18th Apr 2017 - Helen Rimington, PhD After watching this video, you will be able to display an optimized suprasternal view of the aorta using transthoracic ...
Mastering the parasternal short-axis (PSAX) echo view of the aortic valve 13th Apr 2017 - Helen Rimington, PhD After watching this video, you will be able to display an optimized PSAX echo image at the level of the aortic ...
Introduction to ARDS in mechanical ventilation 21st Mar 2017 - Josh Cosa, MA, RRT-ACCS, RRT-NPS, RCP In this video, you'll master the most common oxygenation and ventilation complications associated with ...
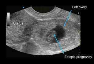
Evaluating for an ectopic pregnancy using point-of-care ultrasound (POCUS) 8th Mar 2017 - Viveta Lobo, MD After reviewing this lesson, you will know how to evaluate for an ectopic pregnancy using Point of Care ...
Knowing when to scan the abdominal aorta in point-of-care ultrasound (POCUS) 28th Feb 2017 - Viveta Lobo, MD After watching this video, you will understand the indications for an abdominal aorta (aortic) scan using point-of-care ...
Everything you need to know about weaning parameters in mechanical ventilation 23rd Feb 2017 - Josh Cosa, MA, RRT-ACCS, RRT-NPS, RCP By the end of the lesson, you will understand which parameters to monitor during a weaning trial.
Learning how to acquire the four basic ECHO views when performing point-of-care ultrasound (POCUS) 17th Feb 2017 - Viveta Lobo, MD After watching this lesson, you will understand how to acquire the four basic echo views used in point-of-care ...
Understanding when to use echo in point-of-care ultrasound (POCUS) 15th Feb 2017 - Viveta Lobo, MD Understand when to do a bedside ECHO and what's up with the so-called marker controversy.