Image intensifier basics and nomenclature (Sneak preview #3) 23rd Nov 2015 - David G O’Brien, MD, FRCP Coronary angiographic views and terms like LAO cranial or RAO caudal can sometimes be pretty confusing. But they are not ...
A case of no-reflow—the importance of the coronary microcirculation (Sneak preview #2) 18th Nov 2015 - David G O’Brien, MD, FRCP Today’s video is an impressive case-demonstration of the acute no-reflow phenomenon. After watching this video, ...
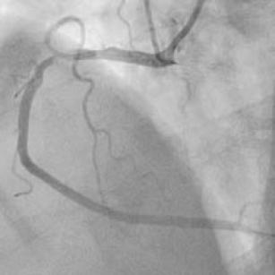
Coronary anatomy refresher (Sneak preview #1) 16th Nov 2015 - David G O’Brien, MD, FRCP Very soon, we’ll be launching our brand-new Coronary Angiography Essentials course. This course will teach you many ...
How to diagnose myocardial infarction in the presence of left bundle branch block (LBBB) - Ask Andrew 11th Nov 2015 - Andrew R. Houghton, MD In this episode of Ask Andrew, you will learn how you can diagnose myocardial infarction on the ECG when preexisting ...
Leaflet thrombosis of bioprosthetic aortic valves - Video Review 5th Nov 2015 - Franz Wiesbauer, MD, MPH You might have heard about the latest controversies surrounding aortic bioprosthetic valves and their potential risk of ...
Medmastery’s chest x-ray algorithm—a systematic approach for evaluating any chest x-ray 21st Oct 2015 - Franz Wiesbauer, MD, MPH Learn to evaluate the chest x-ray according to our straight-forward algorithm and never miss an important problem ever ...
Getting into the chest x-ray—how pathology changes the greyscale (part 4) 19th Oct 2015 - Julian Dobranowski, MD, FRCPC This is part 4 in our free chest x-ray teaching series. Today, Julian Dobranowski MD will teach you how pathology can ...
Getting into the chest x-ray—the importance of shapes and key landmarks (part 3) 16th Oct 2015 - Julian Dobranowski, MD, FRCPC In today’s teaching video you will learn how shapes and structures are formed on a chest x-ray.
Getting into the chest x-ray—the importance of overlap (part 2) 15th Oct 2015 - Julian Dobranowski, MD, FRCPC If you want to become good at reading a chest X-ray, you need to know how borders are formed on an X-ray. Essentially, ...