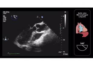
How to assess the aortic valve using TEE (mid-esophageal long-axis view) 10th Oct 2017 - Andrew R. Houghton, MD Learn how to assess the aortic valve (mid-esophageal long-axis view) using TEE. Taken from our Transesophageal ...
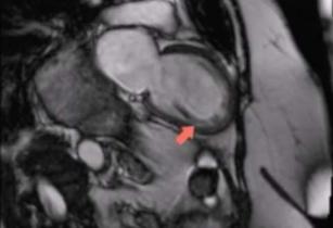
Assessing aortic stenosis with the help of cardiac MRI (CMR) 10th Oct 2017 - Andrew R. Houghton, MD Learn how to assess aortic stenosis with the help of CMR. Taken from our Cardiac MRI Essentials ...
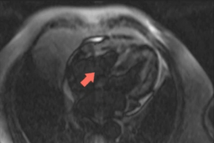
Diagnosing Takotsubo cardiomyopathy with the help of CMR 4th Oct 2017 - Andrew R. Houghton, MD Learn how to diagnose Takotsubo cardiomyopathy with the help of cardiac MRI. Taken from our CME accredited CMR ...
How to differentiate between true and false hyponatremia 3rd Oct 2017 - Joel Topf, MD Learn how to differentiate between true and false (or factitious) hyponatremia like a pro. Taken from our Fluids & ...
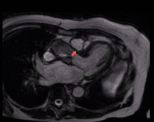
Diagnosing myocarditis with the help of CMR 26th Sep 2017 - Andrew R. Houghton, MD Learn how cardiac MRI can help you make a diagnosis of myocarditis. Taken from our CME accredited CMR Essentials ...
Hyponatremia made easy—a simple diagnostic algorithm 26th Sep 2017 - Joel Topf, MD Learn how to easily diagnose the etiology of hyponatremia. This video was taken from our CME accredited Fluids & ...
Medmastery to win Comenius Award 2017! 22nd Sep 2017 - Franz Wiesbauer, MD, MPH BREAKING NEWS: Medical online learning platform Medmastery to win prestigious Comenius Award in Berlin. Here’s how ...
Breaking NEWS: Medmastery “highly commended” by the British Medical Association 22nd Sep 2017 - Franz Wiesbauer, MD, MPH Revolutionary educational platform teaches clinicians the most important skills for solving real-world patient ...
Diagnosing cardiac amyloidosis with the help of CMR 21st Sep 2017 - Andrew R. Houghton, MD How to use cardiac MRI for the diagnosis of amyloidosis. The nuts and bolts. Taken from our CME accredited ...