How to assess the left atrial appendage with the help of TEE 19th Sep 2017 - Andrew R. Houghton, MD Learn to obtain the left atrial appendage view in TEE & know what to look for to rule out a ...
How to assess a left ventricular thrombus with the help of cardiac MRI (CMR) 13th Sep 2017 - Andrew R. Houghton, MD Assessing a left ventricular thrombus with echo can be a tricky thing. CMR can come in really handy in these ...
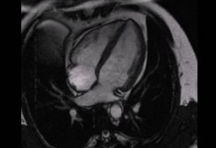
The fundamentals of left ventricular assessment in cardiac magnetic resonance imaging (CMR) 11th Sep 2017 - Andrew R. Houghton, MD Learn how to evaluate left ventricular size and function using cardiac MRI (CMR) from an imaging ...
How to tell if a stress ECG is positive or not? 6th Sep 2017 - Christopher Dunbar, PhD, MPH, RCEP, FACSM Get to know and be able to use the basic criteria for identifying a "positive" stress test.
How to recognize significant ST segment changes on the stress ECG? 30th Aug 2017 - Christopher Dunbar, PhD, MPH, RCEP, FACSM By the end of this 6-minute video, you’ll be able to recognize the basic types of ST segment changes. Learn from a ...
The mid-esophageal four-chamber view in transesophageal echo (TEE)—the nuts and bolts 28th Aug 2017 - Andrew R. Houghton, MD Learn how to obtain, optimize and interpret the mid-esophageal four-chamber view in transthoracic echocardiography (TEE) ...
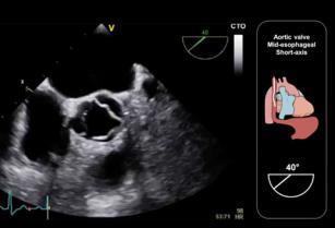
Mastering the most important TEE views 22nd Aug 2017 - Andrew R. Houghton, MD Learn what the most important views in TEE are. Teaching nuggets from a cardiac imaging expert
Using the TEE probe and making sense of the views 21st Aug 2017 - Andrew R. Houghton, MD Learn how to use the TEE probe from a cardiac imaging specialist.
Using thionamides in hyperthyroidism 16th Aug 2017 - Tracy Tylee, MD Endocrinologist Tracy Tylee MD will explain when to use thionamide in your patients and when NOT to use ...